University of Cambridge

Titanium plate for distal radial fractures


# The "radius" is the larger of the two bones in the forearm. The end towards the wrist is called the "distal". A fracture in the distal region can be fixed using a titanium plate. The plate is screwed into position during surgery.

Titanium is inert when compared with stainless steel (316) when placed in the human body.

Photographs courtesy of Avinash Bhadeshia.






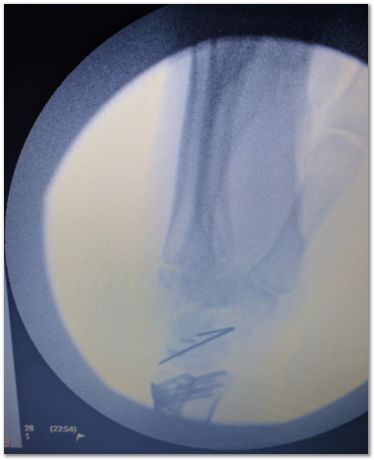
titanium volar distal radius plate, fractured wrist
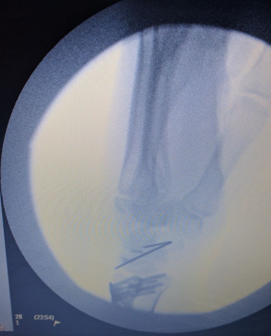
The wire seen is temporary to hold things in place during surgery. X-ray.
titanium volar distal radius plate, fractured wrist
titanium volar distal radius plate, fractured wrist
The plate in position.
titanium volar distal radius plate, fractured wrist
III
titanium volar distal radius plate, fractured wrist
Here with the wire removed.
titanium volar distal radius plate, fractured wrist
Surgery complete.




Hydrogen TWIP Hydrogen in cracks Stainless nanofluid Aerogengine bearings 3rd edition
Ternary pearlite TRIP multipass welds Phosphorus Shear instabilities
Surface displacements Stressed duplex Superbainite bearing? Percolation


PT Group Home Materials Algorithms